Wisdom Teeth Removal: What You Need to Know

Advice from a Dentist in Guildford

Every year, over 150,000 people have their wisdom teeth removed in England. Wisdom tooth extraction is one of the most common oral surgery procedures carried out by dental professionals. While not everyone needs their wisdom teeth removed, many patients experience problems when these teeth begin to emerge.

At Surrey Dental Practice, our team provides expert assessment and treatment for wisdom teeth problems. If you are looking for a Dentist in Guildford to evaluate wisdom tooth pain, swelling, or infection, our experienced dental team is here to help.

What Are Wisdom Teeth?

Wisdom teeth are the third molars that typically emerge between the ages of 17 and 25. Most adults have four wisdom teeth , one in each corner at the back of the mouth.
However, modern jaws often do not have enough space for these teeth to erupt properly. This can lead to impaction, where the tooth becomes trapped beneath the gum or grows at an angle.
When wisdom teeth do not come through correctly, they can cause several oral health problems.

Common Problems Caused by Wisdom Teeth

Patients often visit a dentist because wisdom teeth are causing discomfort or complications. Common issues include:

  1. Impacted Wisdom Teeth

An impacted tooth may remain trapped under the gum or bone, which can lead to:

  • Pain or pressure in the jaw
  • Swelling around the gums
  • Difficulty opening the mouth
  1. Infection (Pericoronitis)

When a wisdom tooth partially erupts, bacteria can accumulate under the gum flap, leading to infection.
Symptoms may include:

  • Bad taste in the mouth
  • Swollen or bleeding gums
  • Difficulty chewing
  • Bad breath
  1. Damage to Nearby Teeth

Impacted wisdom teeth can push against neighbouring molars, causing:

  • Tooth decay
  • Gum disease
  • Damage to adjacent teeth
  1. Cysts or Jaw Problems

In rare cases, untreated impacted wisdom teeth may lead to cysts that damage bone and surrounding teeth.

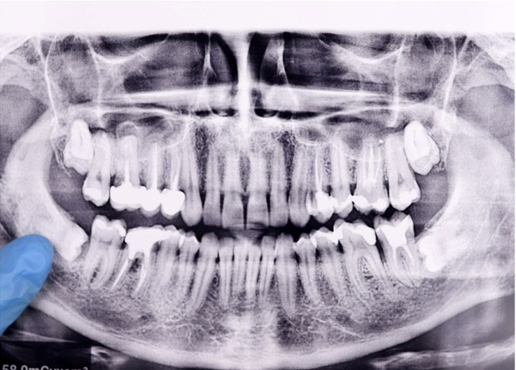
wisdom opg

When Should Wisdom Teeth Be Removed?

Not every wisdom tooth needs extraction. At Surrey Dental Practice, a Dentist in Guildford will assess your teeth using clinical examination and dental X-rays to determine the best course of action.

Wisdom teeth may need removal if they:

  • Cause repeated infections
  • Cause bone loss and gum disease to neighbouring tooth
  • Lead to pain or swelling episodes (two or more than twice a year )
  • Damage nearby teeth
  • Make cleaning difficult

NICE GUIDELINES : Guidance on the extraction of wisdom teeth

Removing wisdom teeth earlier in life often results in faster healing and fewer complications.

Wisdom Tooth Removal: What to Expect

Wisdom tooth extraction is a routine procedure performed by experienced dentists or oral surgeons.
Before the Procedure
Your Dentist in Guildford will:

  • Take X-rays to assess the tooth position *
  • Explain the procedure and risks
  • Discuss anaesthetic options

In some cases, your Dentist may recommend an OPG (Panoramic Xray) or CBCT (Cone Beam CT) scan to obtain a detailed 3-dimensional image of the wisdom teeth and surrounding structures, which helps assess their exact position and their relationship to nearby nerves and sinuses, allowing for safer and more precise treatment planning.
You may choose between:

  • Local anaesthetic (numbing the area)
  • Local anaesthetic with conscious sedation for a more relaxed experience. In this case we need to arrange an external anaesthetist or refer you to hospital.

During the Procedure
The dentist will:

  1. Numb the area around the tooth
  2. Gently loosen the tooth
  3. Remove it safely
  4. Place stitches if necessary

The procedure usually takes 20–40 minutes depending on complexity

Recovery After Wisdom Teeth Removal

Recovery is usually straightforward, although mild swelling and discomfort are normal for a few days.

Most patients recover within 3–7 days, with full healing taking several weeks.

Your dentist will provide detailed post-operative instructions to ensure smooth healing.

Wisdom Teeth

The All-Important Do’s and Don’ts

Do’s

✔ Attend regular dental check-ups to monitor wisdom teeth development.
✔ Get an assessment of the position of your wisdom teeth from your dentist or oral surgeon to determine if extraction is necessary.
✔ Maintain excellent oral hygiene and attend hygienist appointments regularly.
✔ Discuss sedation options with your dentist if you are anxious about the procedure.
✔ Listen carefully to all risks and potential complications and plan your appointment accordingly, as you may need a few days off work.
✔ Carefully follow post-operative instructions after wisdom teeth removal.

Don’ts

✘ Do not ignore persistent pain or swelling, as untreated wisdom tooth infections can worsen.
✘ Avoid delaying treatment if your dentist recommends removal.
✘ Do not smoke or drink alcohol for several days after the procedure, as this can delay healing.
✘ Avoid touching the extraction area or disturbing the blood clot.

If you have any concerns about wisdom tooth pain or extraction, contact your Dentist in Guildford (Surrey Dental Practice) promptly for professional advice.

Wisdom Teeth Removal at Surrey Dental Practice

At Surrey Dental Practice in Guildford, we provide careful assessment and gentle treatment for wisdom teeth problems. Our team focuses on patient comfort, clear explanations, and safe procedures to ensure the best possible experience.

If you are experiencing wisdom tooth pain or would like a professional assessment, booking an appointment with your dentist in Guildford ( Surrey Dental Practice) can help prevent complications and protect your oral health.

Frequently Asked Questions (FAQs)

Do all wisdom teeth need to be removed?

No. If wisdom teeth erupt normally and can be cleaned easily, they may not need removal. Your dentist will assess whether extraction is necessary.

Is wisdom tooth extraction painful?

The procedure itself is not painful because the area is numbed with local anaesthetic. Some discomfort may occur after the procedure, but it is usually manageable with pain relief medication.

How long does it take to recover from wisdom tooth removal?

Most patients recover within 3–7 days, although complete healing may take several weeks.

What can I eat after wisdom tooth removal?

Soft foods are recommended for the first few days, such as:

  • Yogurt
  • Soup
  • Mashed potatoes
  • Smoothies
  • Scrambled eggs

Avoid hard, crunchy, or spicy foods during the early healing phase

When should I see a dentist about wisdom tooth pain?

You should visit your dentist at Surrey Dental Practice if you experience:

  • Persistent pain at the back of the mouth
  • Swelling or redness around the gums
  • Difficulty opening your mouth
  • Bad taste or bad breath

Early assessment helps prevent infection and complications

Book Your Appointment Today

Call us on 01483 506 277

Visit us at Surrey Dental Practice, 127 Worplesdon Road, Guildford, GU2 9XA

Book your appointment now and secure your spot!